Парамедик з «Азовсталі» три роки пробув у полоні з кулею в серці. Її дістали після звільнення з неволі

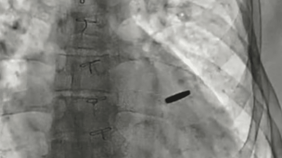
З серця звільненого з російського полону українського парамедика дістали кулю, з якою він прожив три роки.
Про це повідомив директор Інституту серця МОЗ України Борис Тодуров.
Поранений парамедик був на «Азовсталі» й потрапив до полону під час атаки на Маріуполь. Три роки він був у неволі, а два місяці тому його обміняли.
«Три роки він був з цієї кулею, прожив. На щастя, вона нічого не пошкодила, зараз ми її видалили, пощастило хлопцю», — наголосив Тодуров.
Оновлено 20 вересня інформацією про те, що чоловік був парамедиком.
- Поділитися:
